GERMANY


Alexander Conzmann

 Conzmann Creation Dentaltechnik

                Email : contact@conzmann-creation.com

 Dental Address : Uracherstr.27 73268 Erkenbrechtsweiler GERMANY

  Phone number : +4970263960150

             Website : www.conzmann-creation.com

 


Biography sketch

- Training as a dental technician

- Laboratory Manager Ceramics Dentist Dr.Hermanns

- employed dental technician at Peter Biekert Stuttgart

- employed dental technician Oraldesign Thilo Vock Stuttgart

- successful completion of the master craftsman school 

- independent with Conzmann Creation

- consultant of Creation Germany and international

- trouble shooting Creation Germany



List of publications 

-Quintessenz Zahntechnik, 6/19  „PFM Classic for the creation of natural teeth“

-Quintessenz Zahntechnik, 2/20  „Use of a DPL printer in dental technology“


List of presentations

-Materials science what is behind the Creation CC/CT/LS

-Possible applications of Creation Willi Geller materials from additional veneer to complex restorations

- PFM „the classic case“


List of hands-on courses

-Course for beginners, „first the foundation then the house“ (CC/CT/LS)

-layering on lithium disilicate with Creation LS

-in-house laboratory course, individually what is desired possible are all materials of Creation Willi Geller

-Surface course „on the trail of nature“

-Course series:

->part 1 understanding the layering of mr. geller with few masses 

->part 2 complex layering of an anterior bridge

->part 3 live patient course (veneer, crown or bridge, depending on the case)

 


Hobbies

-Teeth

-Tennis

-Daughter ;-)



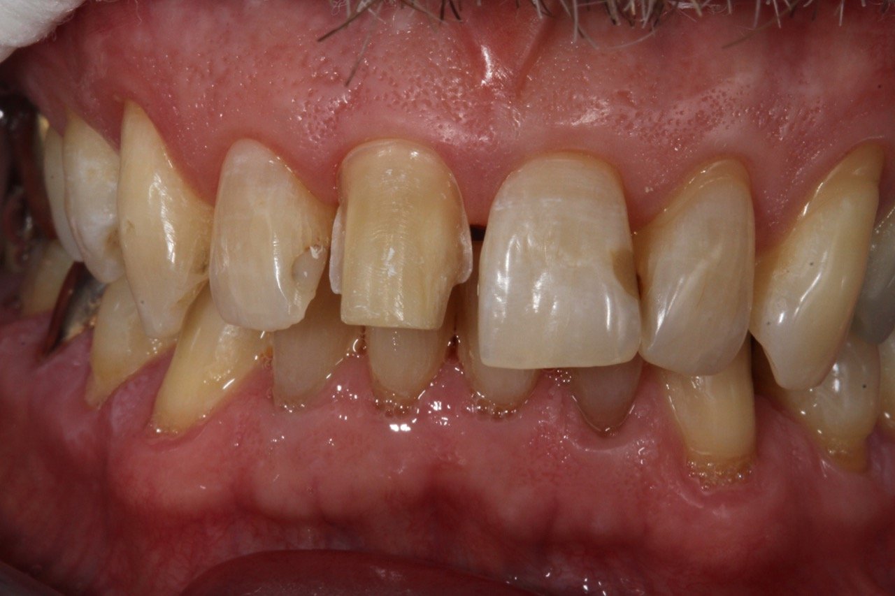
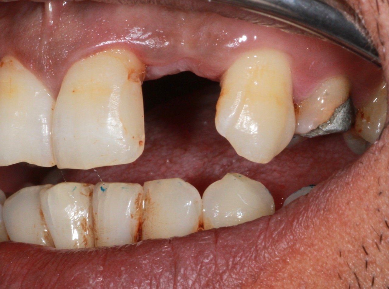
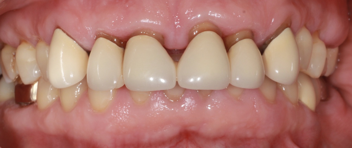
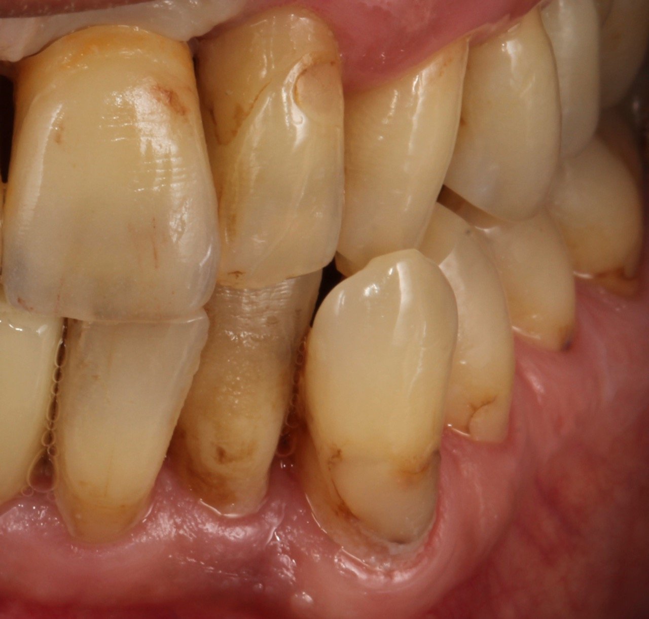
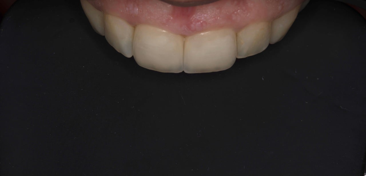
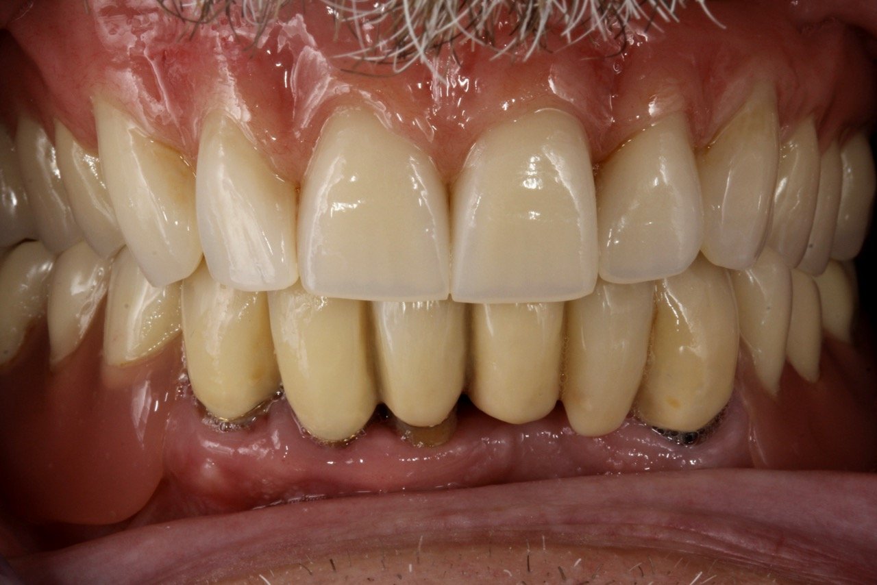
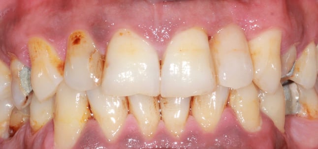
Clinical case photos