JAPAN


   Kenji Uchiumi

Oral Design KEN-Dental Laboratory      

                    Email : ken2ucumdl@nifty.com

     Dental Address : Takeya Bldg. 4F, 2-16-9 Shinjuku Shinjuku-ku, Tokyo,

                                 160-0022 Japan 

      Phone number :  +81 3 6457 7888      

                       Fax : +81-(0)3-6457-7888

                Website : 



Biography sketch

1973. Born in Chiba ,japan

1993. Obtained a dental technician license

1994. Graduated from International Dental Academy

1995. Worked at International Dental Academy

1999. Worked at Willi Geller dentl labo

2001. Become a member of oral design

2004. oral design KEN opened


 List of publications 

- Kenji Uchiumi : The international journal of dental technology ,2017 EXTRA ISSUE

                           Consideration of natural teeth seen in Fluorescence and permeability part1-3 

- Kenji Uchiumi : Dental Diamond 2015/4 our style team approach part2 page 139 

- Kenji Uchiumi : practice in prosthodontics vol.37 2004/1 Porcelain laminate veneer res tration case with partially untouched                             tooth eduction page6ー14


List of presentations


List of hands-on courses 


Hobbies

 - Fishing

 - Caffè Latte

 



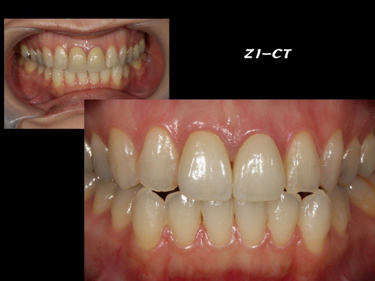
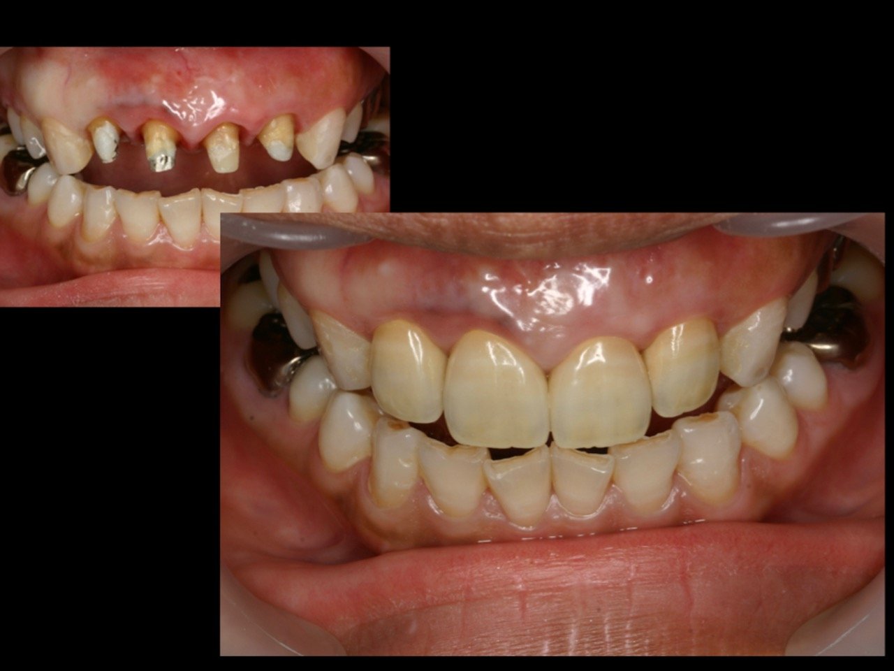
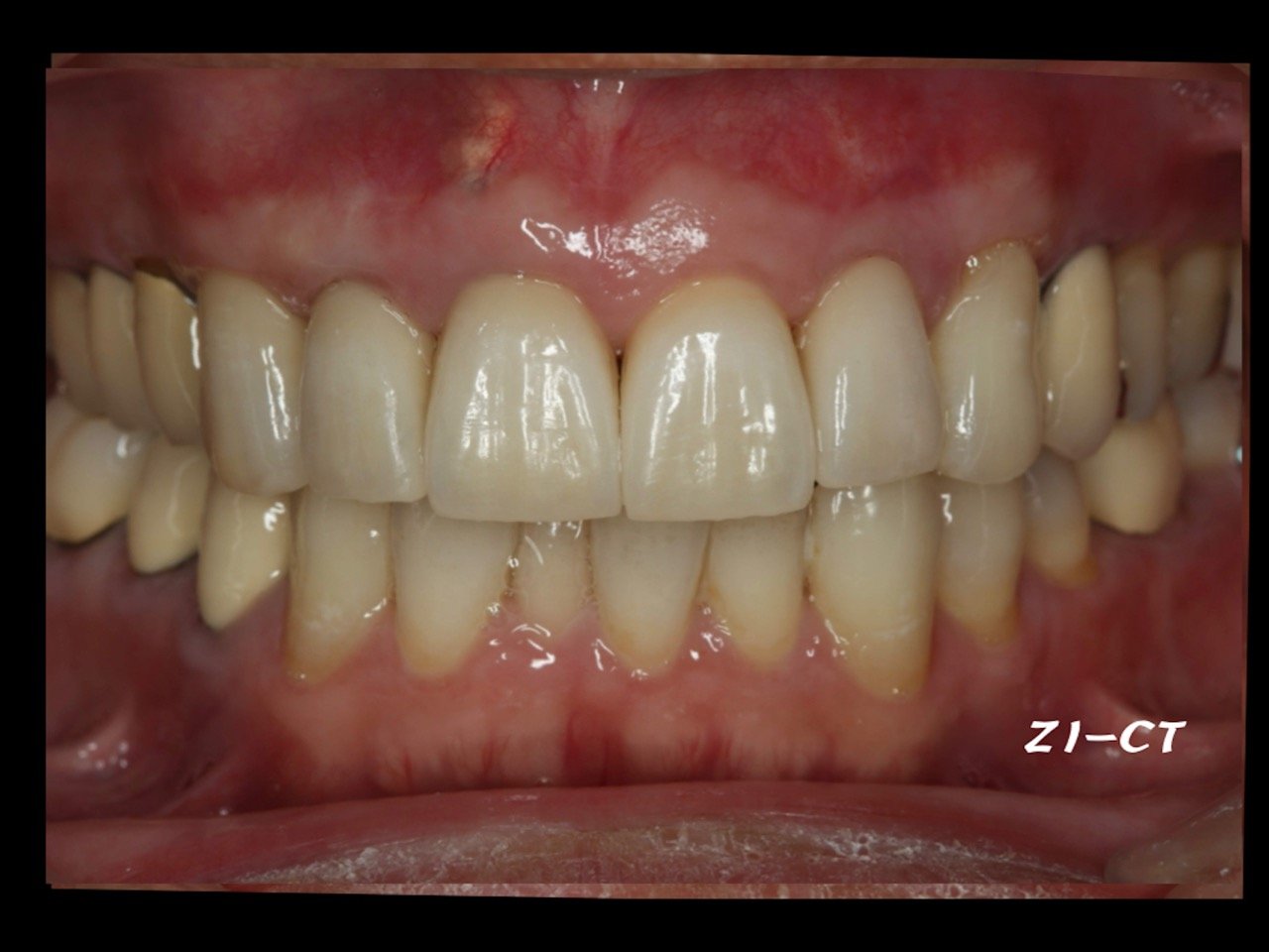
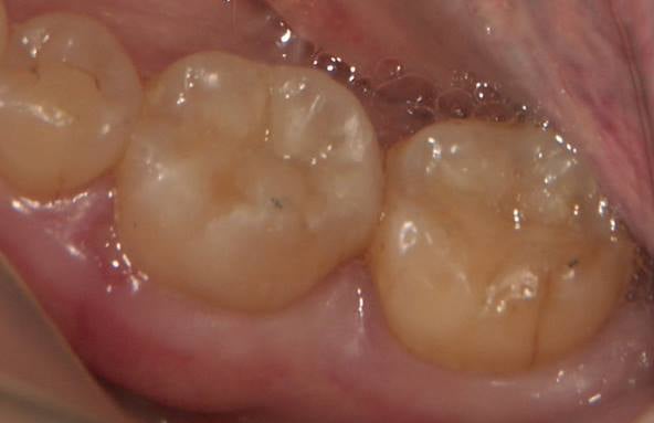
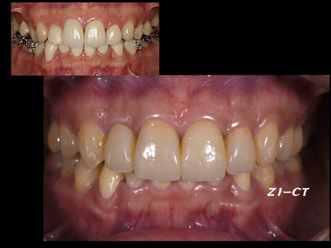
Clinical case photos




 

JAPAN