JAPAN


Shinichi Inoue

Oral Design I-vory      

                Email : kumonoko@sky.email.ne.jp

 Dental Address : 1-10-46 Naito Kokubunji Tokyo 1850033 Japan 

  Phone number :  +81 42 8423323                

                    Fax : 

             Website : reserva.be/oraldesign



Biography sketch

 1970. Born in Ibaraki, Japan

 1994 Dental technician license

 1995 Graduated from Toho Dental school

 1997-2005 . Worked at Omega Ceramics Dental Labo Australia Melbourne

 2005-2009.  Worked at Willi Geller Dentl Labo Switzerland

 2009.  Certified as an Oral design member.

 2010.  Oral design i-vory in Tokyo


 List of publications 


List of presentations

- Pre-Sintering technics learned from science and engineering. 

- The relationship between Pre-sintering and Opaque control of build-up-learned from the structure of natural teeth.


List of hands-on courses 

 - A fusion technology of Pre-sintered color and Opaque control along the natural tooth structure.

   (3 unit bridge)

   (Single Central)

 


Hobbies

- Scuba diving

- Cooking



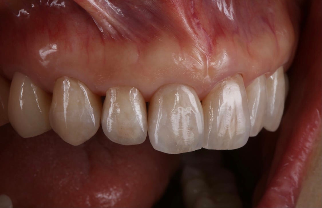
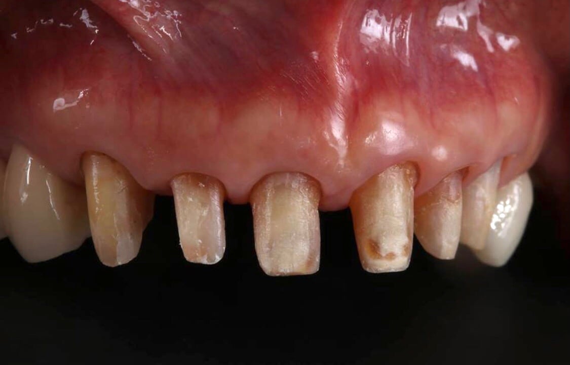
Clinical case photos