JAPAN


   Tetsuro Kubo 

   Oral Design Osaka       

                Email : oral-design-osaka@zeus.eonet.ne.jp

 Dental Address : 11-11 1 Chome Koganeno, Hirakata City Osaka 573-1145 Japan 

  Phone number :  + 81 72 856 3694                

                    Fax : +81 72 856 3694

             Website : 



Biography sketch

1970. Born in Osaka 

1991. Graduated from Osaka Dental University Dental Technician College

1992. Graduated from Osaka Celamic Training Center

          Working at a dental clinic

2005. Leaves the dental clinic

          He studied abroad in Willie Geller's lab for a short time

          Certified as a member of Oral Design

          oral design OSAKA opened

          Creation instructor


 List of publications 

 - Tetsuro Kubo : (2020). All-ceramic multicolor building-up applying the color expression of metal ceramics. QDT(No.4)

 - Tetsuro Kubo : (2020). MASTERPIECE. QDT(No.4)

 - Tetsuro Kubo : (2017). Team discussion: Reconsidering sub-gingival contour Part 2. QDT(No.2)

 - Tetsuro Kubo : (2017). Team discussion: Reconsidering sub-gingival contour Part 1. QDT(No.1)

 - Tetsuro Kubo : (2017). Fabrication of mandible lateral incisors bilaterally utilizing the color tone of pigment.

                           Dental Technician Separate Volume. “The quest for aesthetic dental technicians.”

- Kazuto Makigusa, Tetsuro Kubo : (2016). With biology, Aesthetic prosthesis: Implant version.

                          The QUINTESSENCE(No.12) 

- Tetsuro Kubo : (2016). With biology, Aesthetic prosthesis: Natural teeth version. The QUINTESSENCE(No.3)

- Kazuto Makigusa, Tetsuro Kubo : (2012). Opaque experiments and consideration for pursing the aesthetic limits of metal-

                           ceramic restoration. Dental Technician Separate Volume “Prosthetic fabrication techniques and collaboration

                           methods for aesthetic restoration.”

 - Tetsuro Kubo : (2008). Reconsideration of metal ceramics: Fabrication steps and consideration of strength and soldering.

                            QDT(No.9)

 - Tetsuro Kubo : (2008). MASTERPIECE: Aesthetic restoration that takes advantage of metal ceramics. QDT(No.8)

 - Tetsuro Kubo : (2007). Zirconia TECHNOLOGY. ZERO(No.4)

 - Tetsuro Kubo : (2005). MASTERPIECE: Metal ceramics using Creation CC porcelain maxillae full mouse sample.

                            QDT(No.8) 


List of presentations

A biological approach for restoration design

 - Study of custom abutment for esthetic implant restoration

 - Esthetic Limitations for Ceramic Work


List of hands-on courses 

- Multicolor buildup with clinical photos Single Central using Creation ZI-CT 

- Where the conditions for the abutment teeth are different on the left and right  using  Creation ZI-CT

- 3 unit bridge using Creation ZI-CT


Hobbies

- Music

- Muscle training 



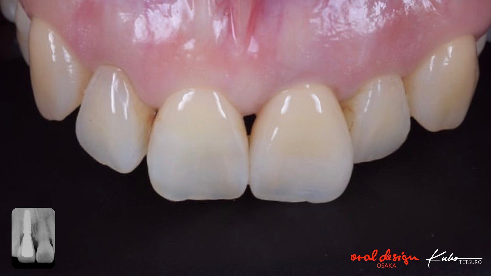
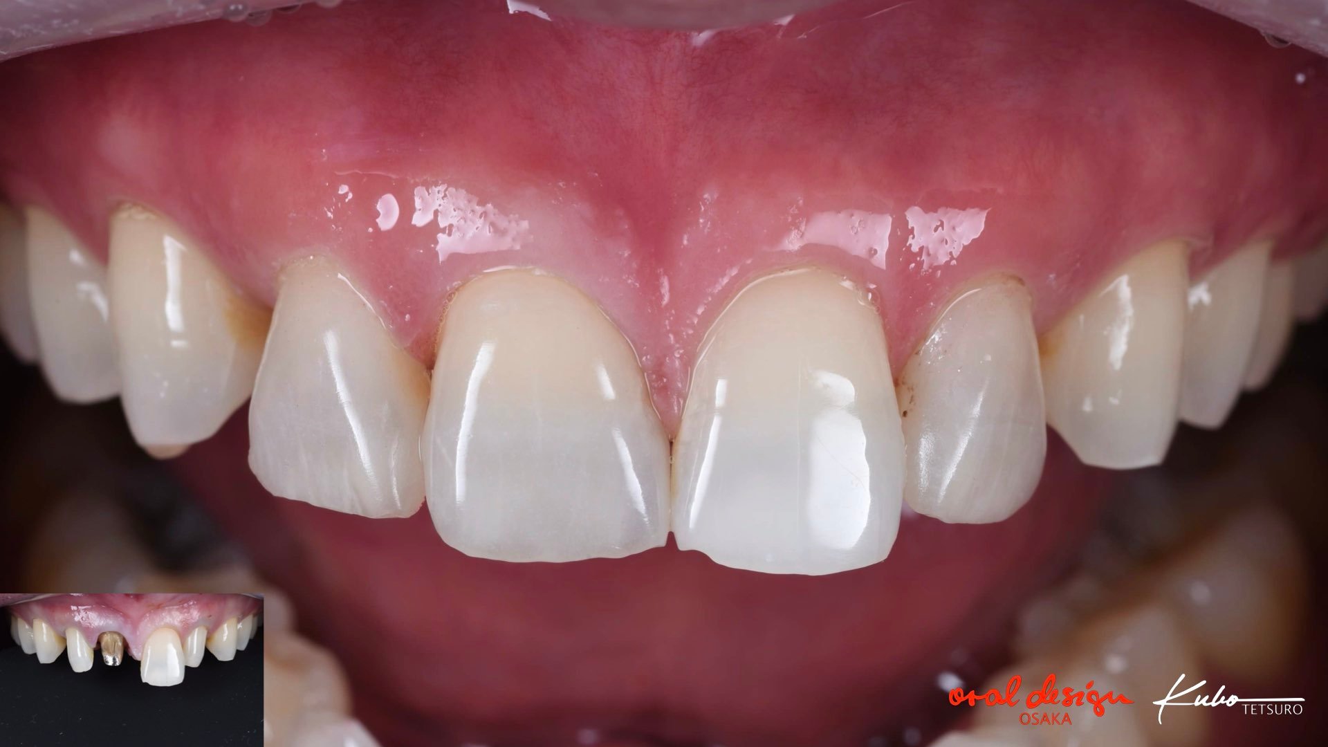
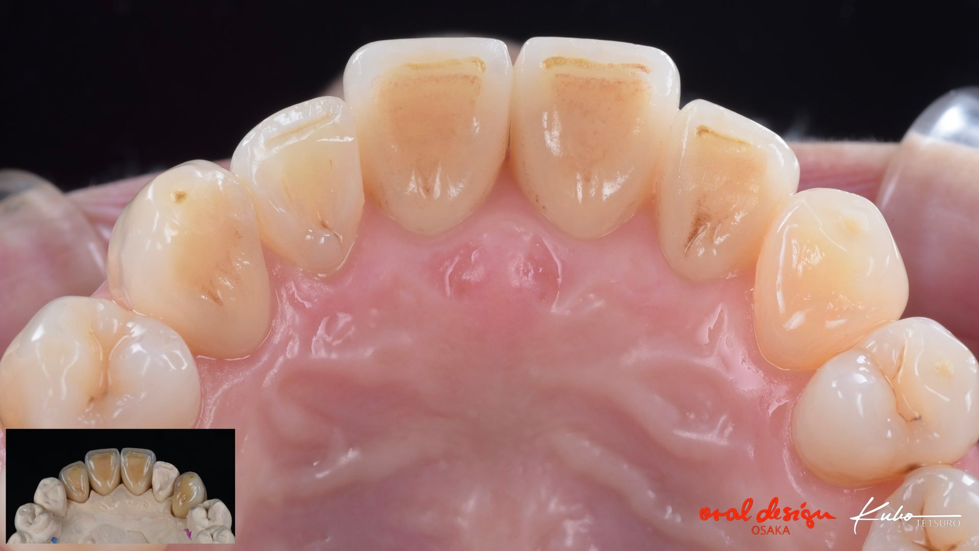
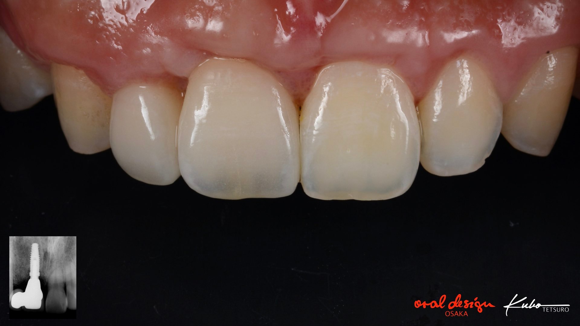
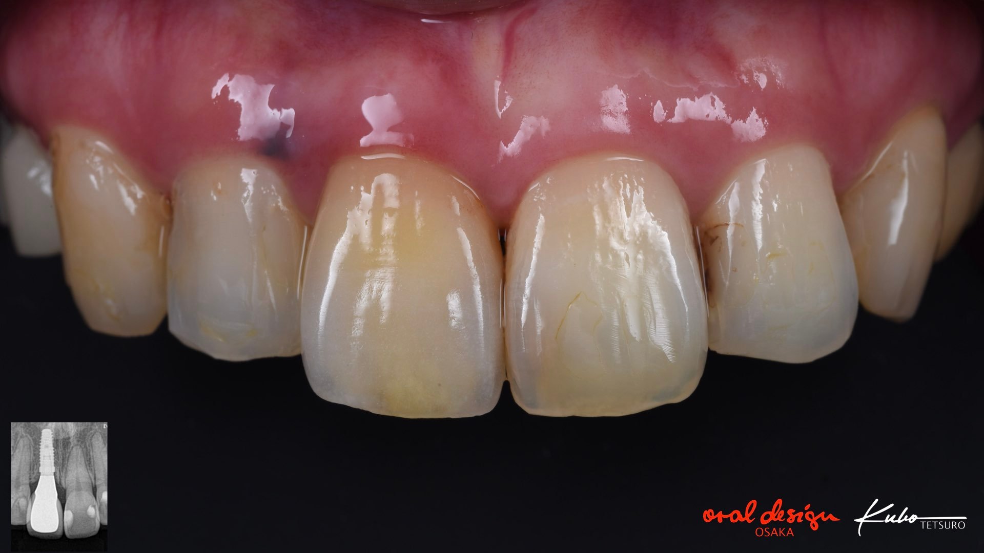
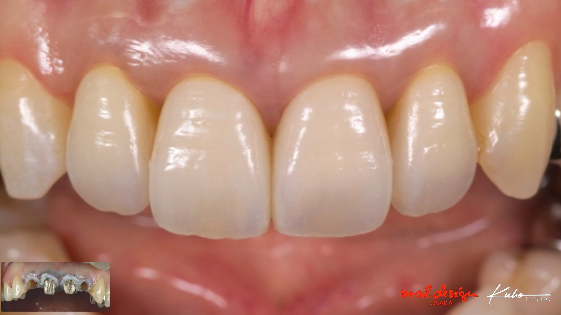
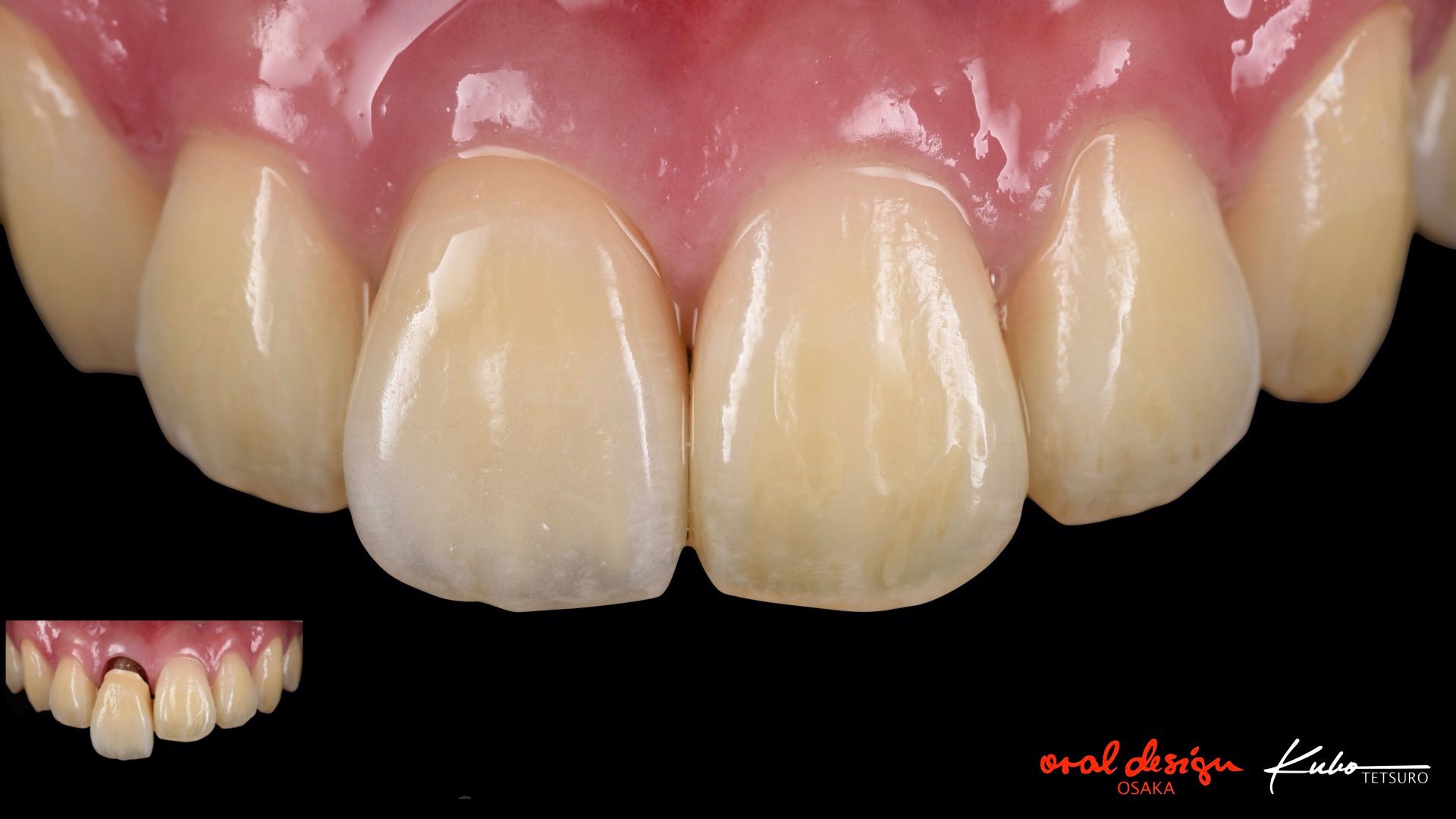
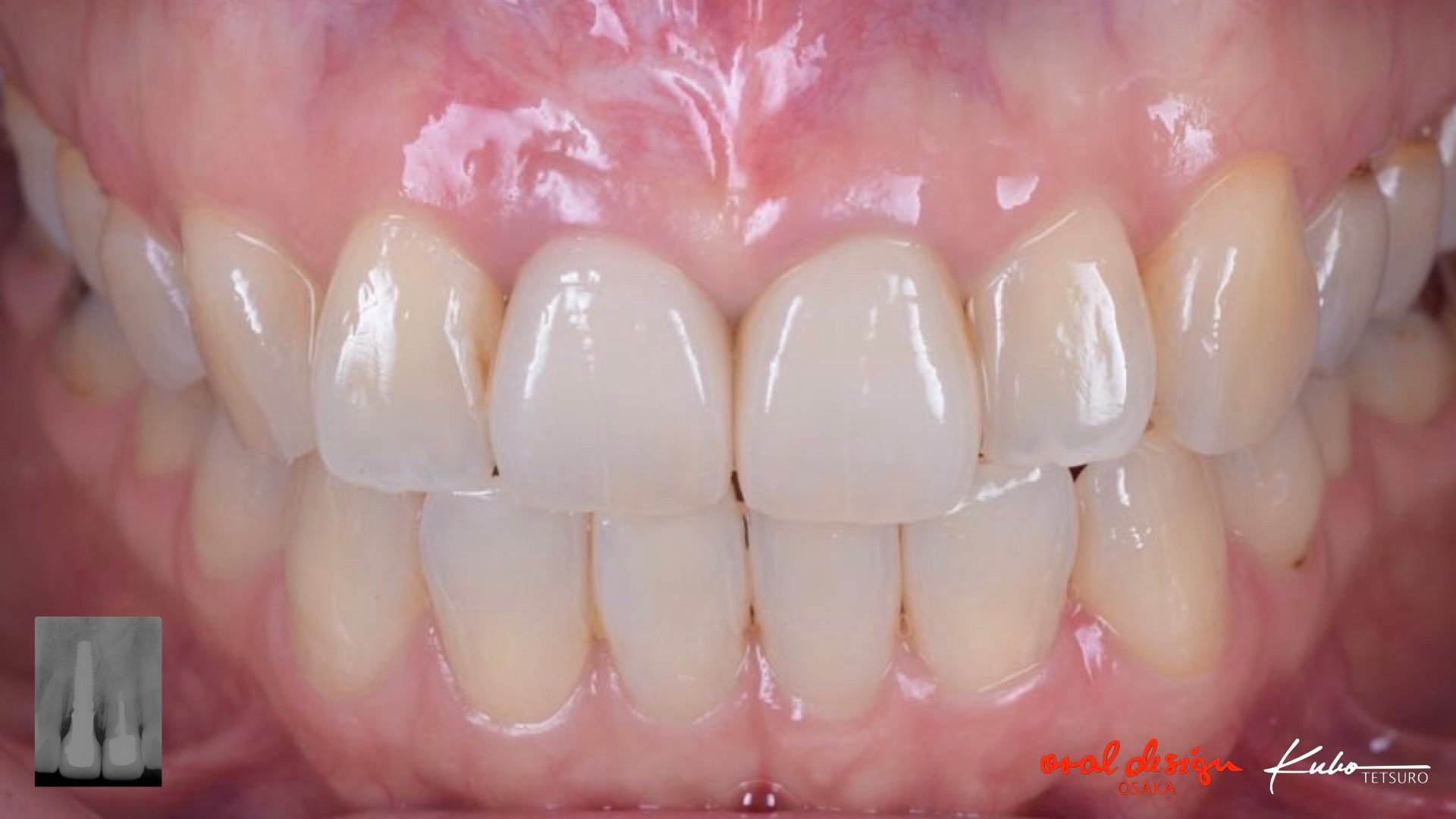
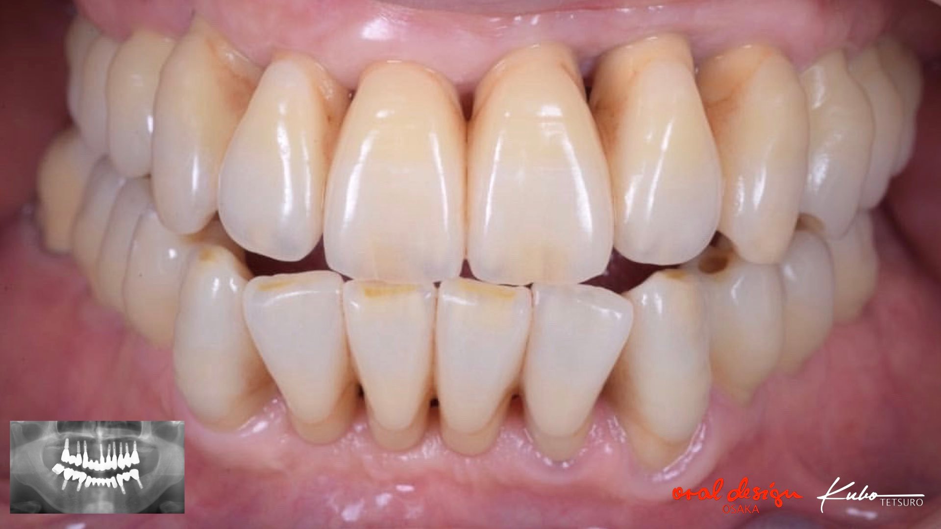
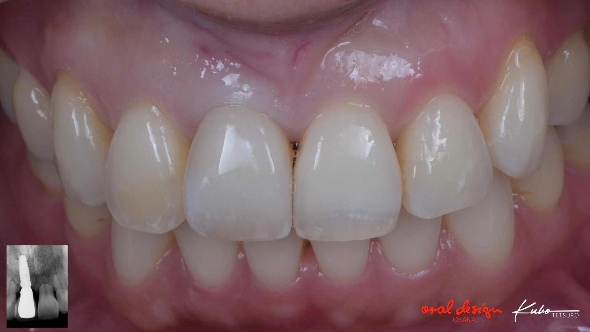
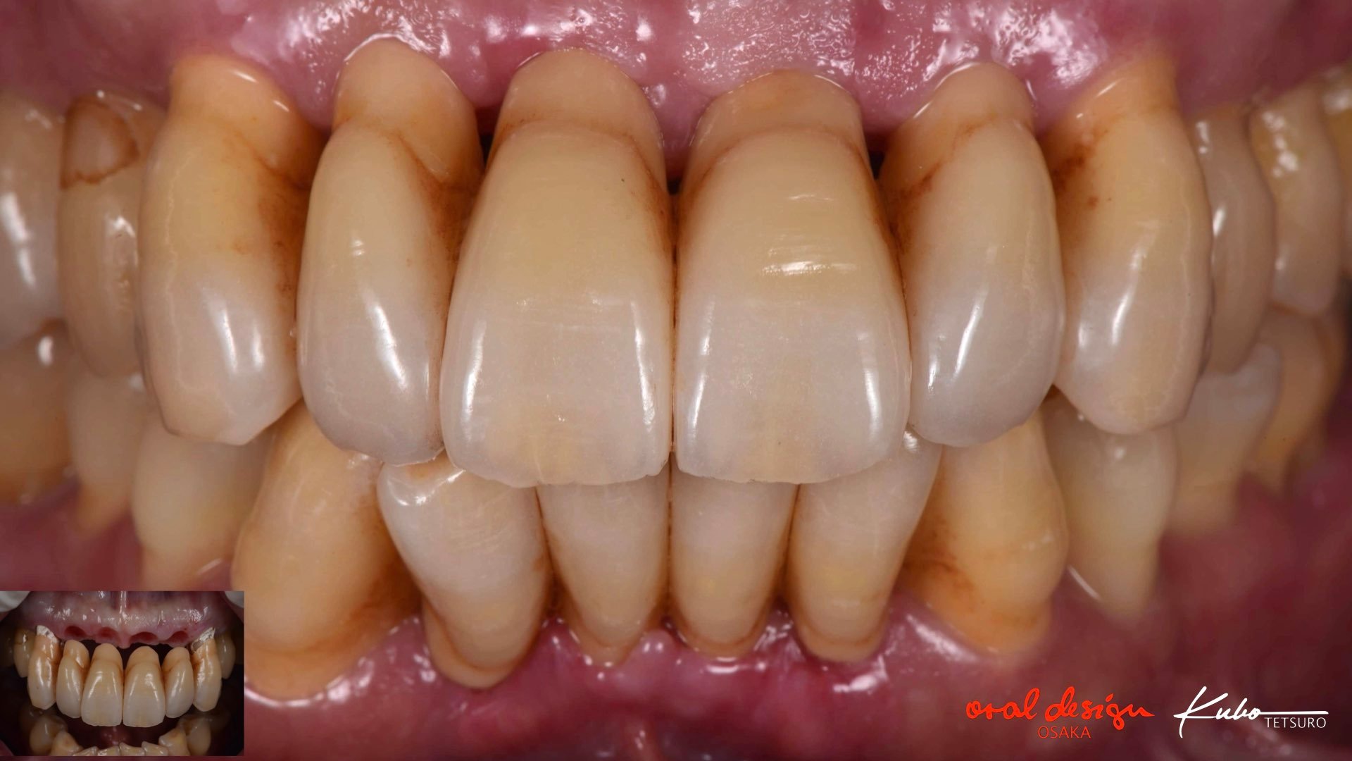
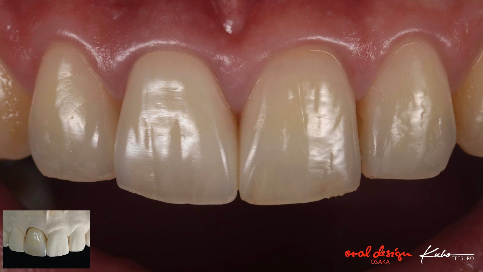
Clinical case photos


Symposium Lecture, Hands-on Courses  History


Lecture

Madrid, Spain

September, 16-19, 2015

September, 19, 2015