SWITZERLAND


        Giuseppe Voce

 TURICUM Tailored Inspiration Oraldesign Zürich 

                Email : voce@oraldesign-turicum.com

 Dental Address : Am Schanzengraben 15 8002 Zürich.Switzerland

  Phone number : +41 44 820 80 02

        Cell Phone : +41 79 887 80 02 

                    Fax : 

             Website : Oraldesign-turicum.com


Biography sketch

     -1996-2001 School for Dental Technician  Varese, Italy 

-2001-2004 Dental Labor Forgione Dental technical education program Varese, Italy 

-2004-2007 Dental Labor Walther Gebhard Specialisation Dental Technician Zürich, Switzerland 

-2007-2008 Dental Labor Marini Ceramist Zürich, Switzerland 

-2009-2013  Dental Labor Alwin Schöneneberger 

-2009-2010 Ceramist Glattbrugg, Switzerland 2010-2013 Chief Dental Technician Quality Control 

-2013-2018 Clinic of Fixed and Removable Prosthodontics and Dental Material Sciece University of Zurich directed from

 Prof. dot. Med. C.H.F. Hämmerle 

-2013-2014 Ceramist Zürich, Switzerland since 2014 Chief Dental Technician 

-2018- Owner Turicum Tailored Inspiration Ag Oral Design Center, Am Schanzengraben 15 8002, Zurich 

 specialized in dental aesthetics and minimal invasive cases, reconstructions on implants and complex reconstructions with

 gingiva ceramic.Focus on the union of new technologies with high quality aesthetic reconstruction.

 



 List of publications 

-Voce G, Minimal-Invasive reconstractions. The new Dental Laboratory 2015; 1: 9-17

-Voce G, Thoma A case presentation. Dental Exellente Ästhetik. Quintessenz Zahntechnik 2015; 1: 11-12

-Voce G, Thoma A case presentation. Excellent dental aesthetics. Quintessences Dental Technology 2015; 09: 03-04

-Voce G, Laue R. Thoma D. Dental Swiss Community Dental Technician “Back to the Future” 6/17 10.


List of presentations

-Minimally invasive reconstruction

-Aestethic key Diagnostik für Minimally invasive cases

-Aestethic cases in the digital epoch 


List of hands-on courses

 -Live Patient - Ceramic Course

 -Ls2 Front layerd

 -Laminate veneer porcelain


Hobbies 

-Harlay-Devidson

-Music

-To cook 

 



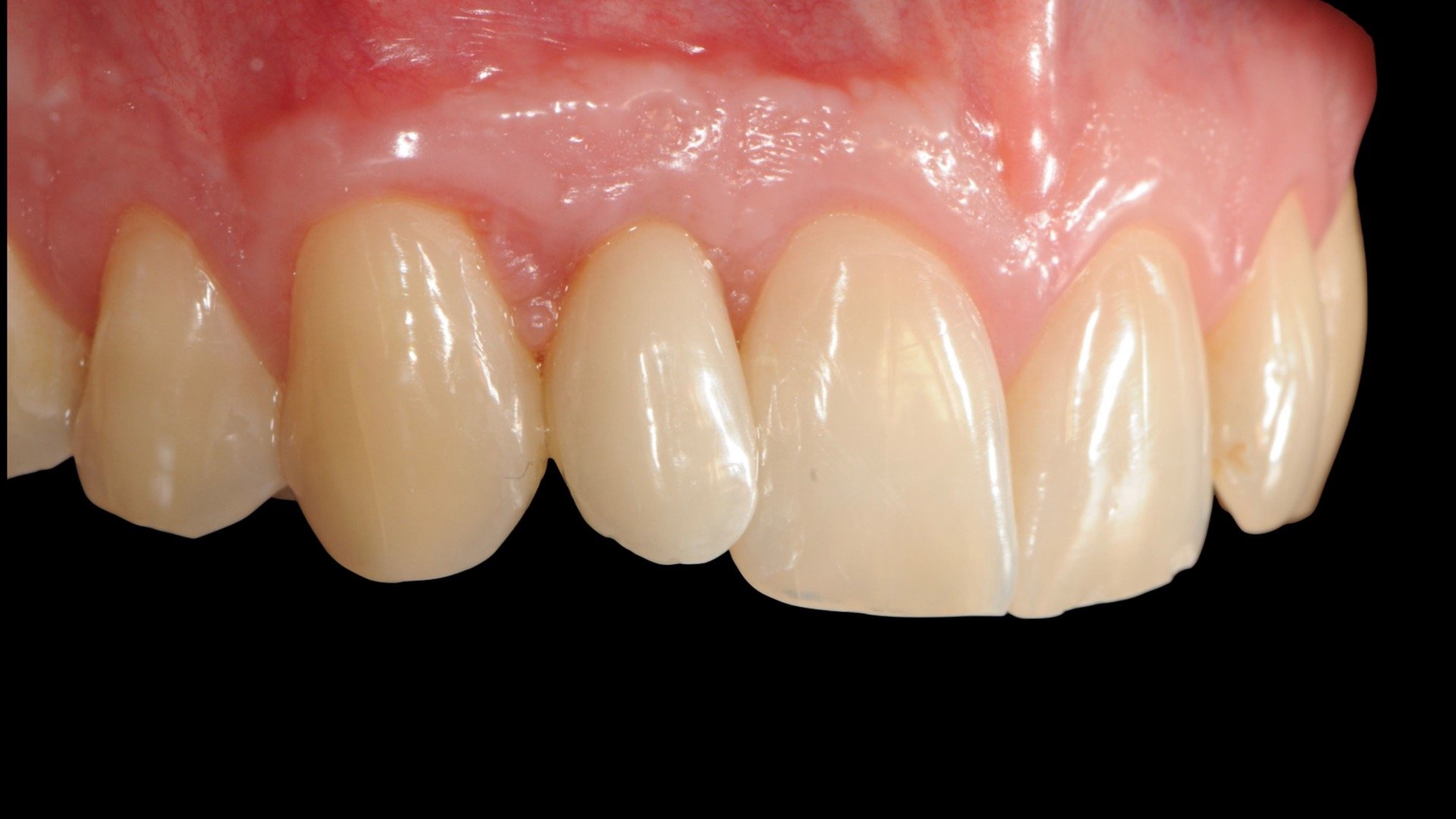
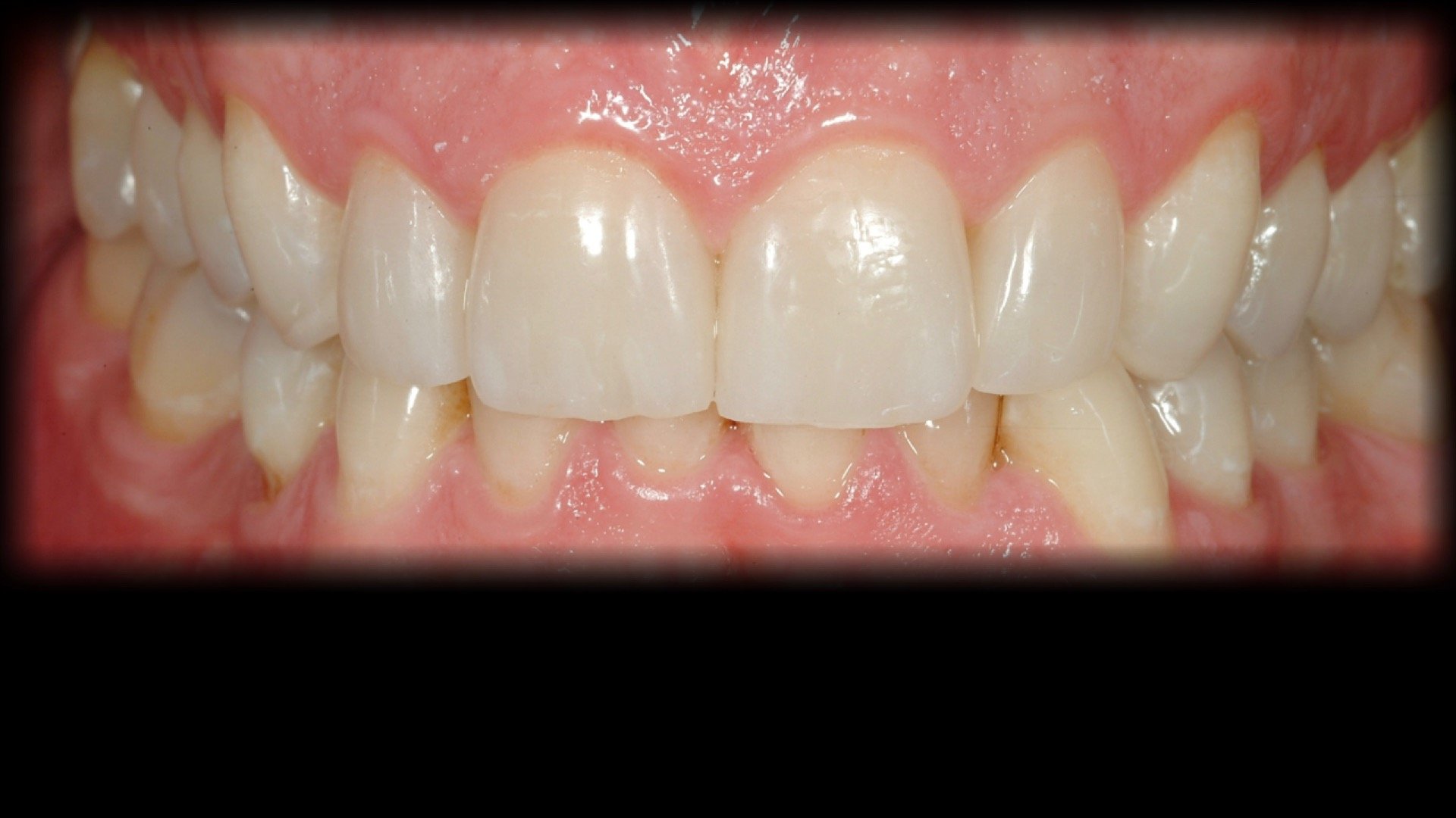
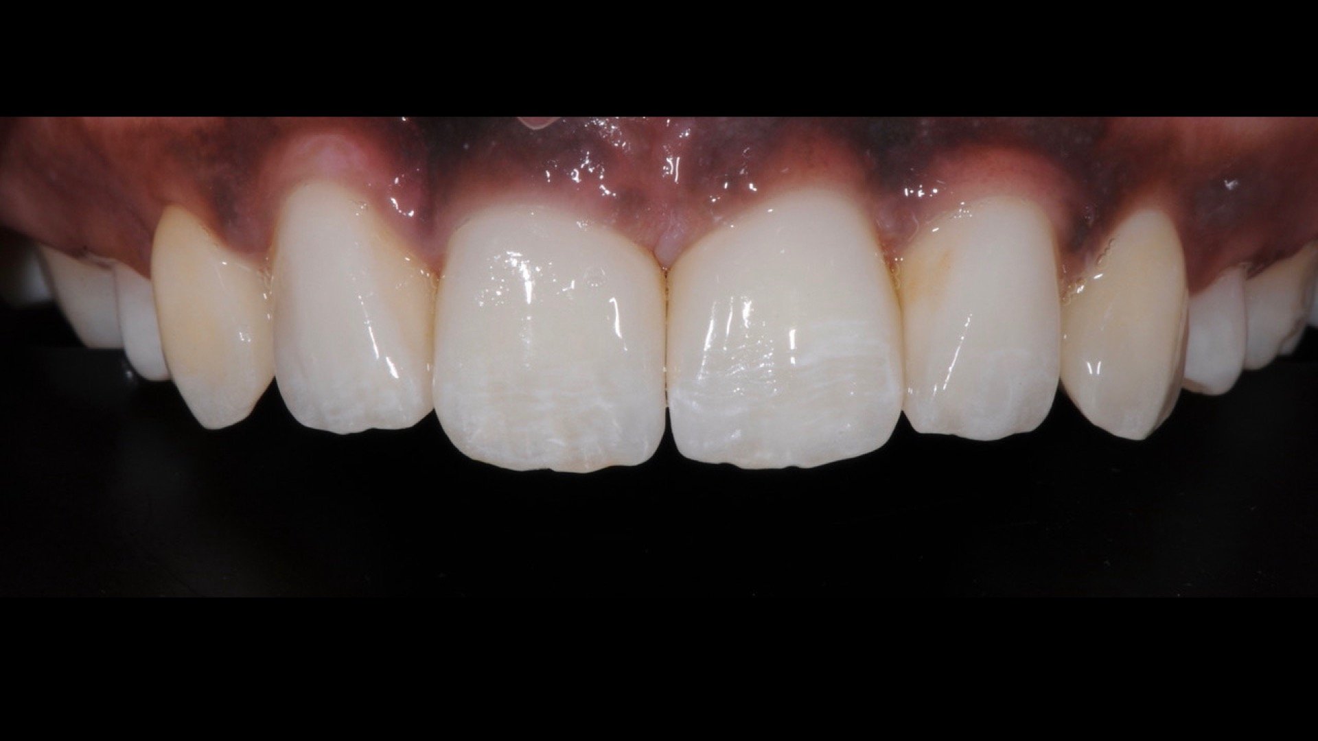
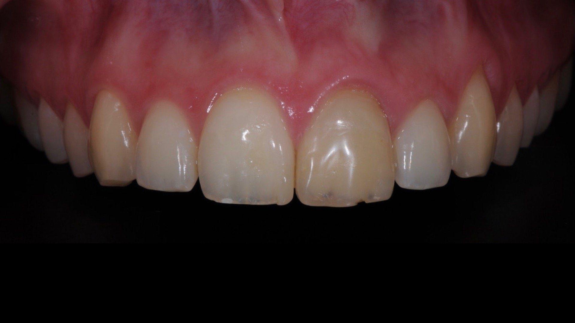
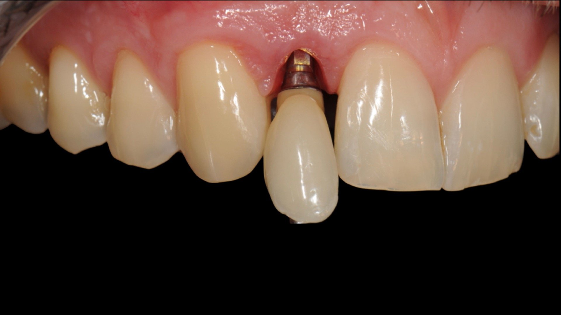
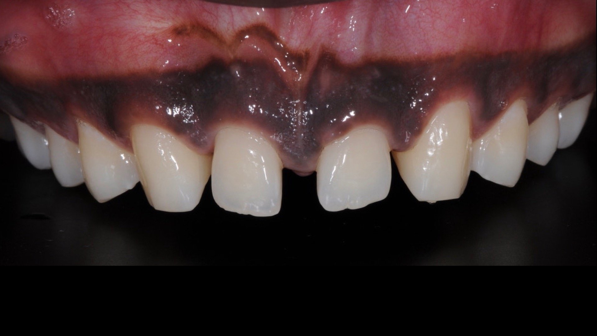
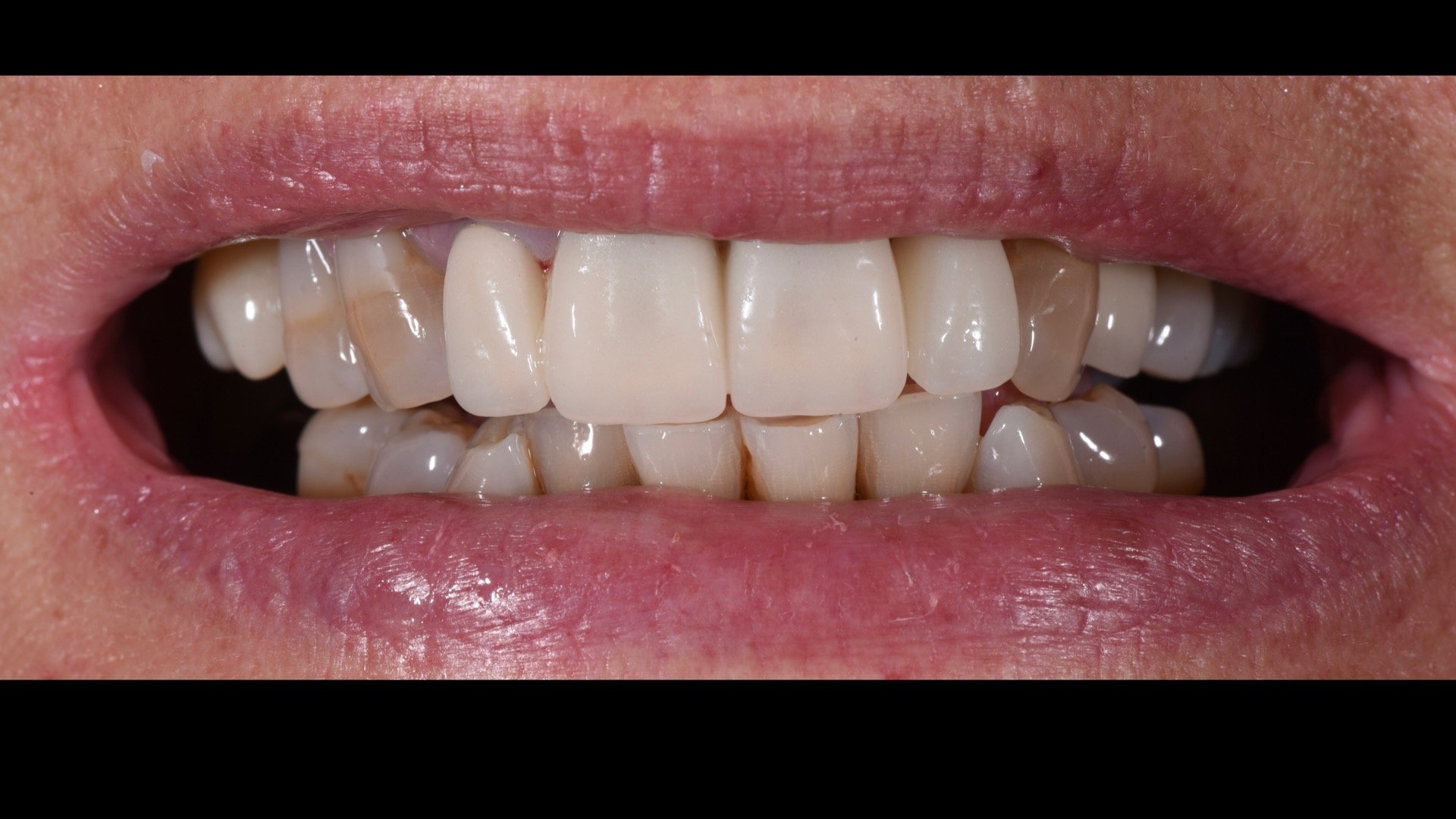
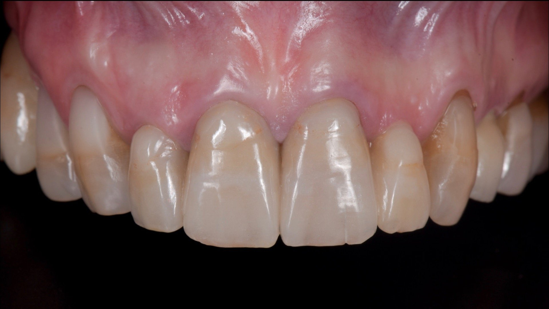
Clinical case photos