 
    
 
    
Daniele Capoferri
Swiss Dental Art
Email : dc@swissdentalart.com
Dental Address : 334 Cedar Street Redwood City CA 94063 USA
Phone number : +1 650 619 3081
Fax :
Website : https://swissdentalart.com/
Biography sketch
Daniele Capoferri takes dental craftsmanship to new heights. Swiss born and educated, Daniele continues the tradition of precision and excellence. Educated at the Scuola Professionale Artigianale Industriale in Trevano, Switzerland, Daniele worked alongside some of Europe's finest master technicians and dentists.
Daniele frequently lectures in the US and abroad, sharing advanced techniques and best practices to dedicated dental professionals.
Currently head of the Swiss Dental Art laboratory in Redwood City, Daniele emphasizes natural esthetics in ceramic restorations and full mouth rehabilitation. With over 23 years experience, Daniele uses the finest materials available to create original, elegant dental solutions. Daniele is considered a world class master dental ceramist by his loyal clients
List of publications
- STRAUMANN PRO ARCH
Straumann Pro Arch Rehabilitation of the Edentulous Maxilla.” Straumann. Roundtable Seminars Study Group” with Dr. Richard Kinsel - University of California San Francisco
- THE MULTI-BASE ABUTMENT
The Multi-base Abutment for Straumann Bone-Level Implants: An Option for the Screw-Retained, Complete Arch, Metal-Ceramic Fixed
Prosthesis.” Implant Realities, Vol. Full Crowns in the Aesthic Zone.” Dental Dialogue
List of presentations
- THE INFLUENCE OF CROWN
Abutment Morphology of Dental Implant Restoration on Gingivival Esthetics.” Dental Lab Owners Association of California. The Layering Technique for Implant Supported Ceramic Metal Crowns in the Esthetic Zone.” Straumann Conference
List of hands-on courses
Hobbys
In his spare time, Daniele enjoys playing, coaching and watching soccer- a passion that stems from his boyhood days in Switzerland. Daniele is the head coach and proud sponsor of the South San Francisco AC.
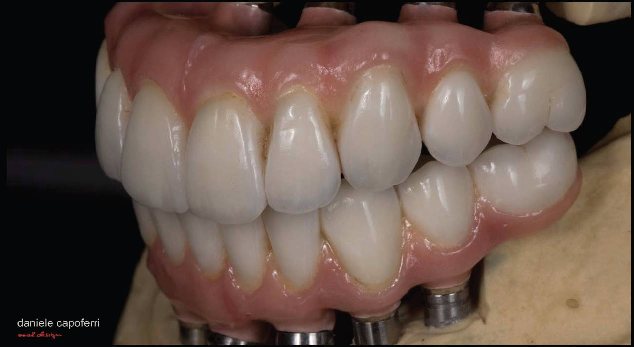
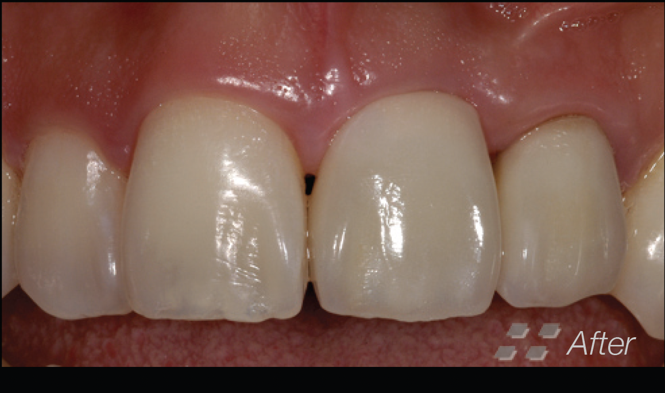
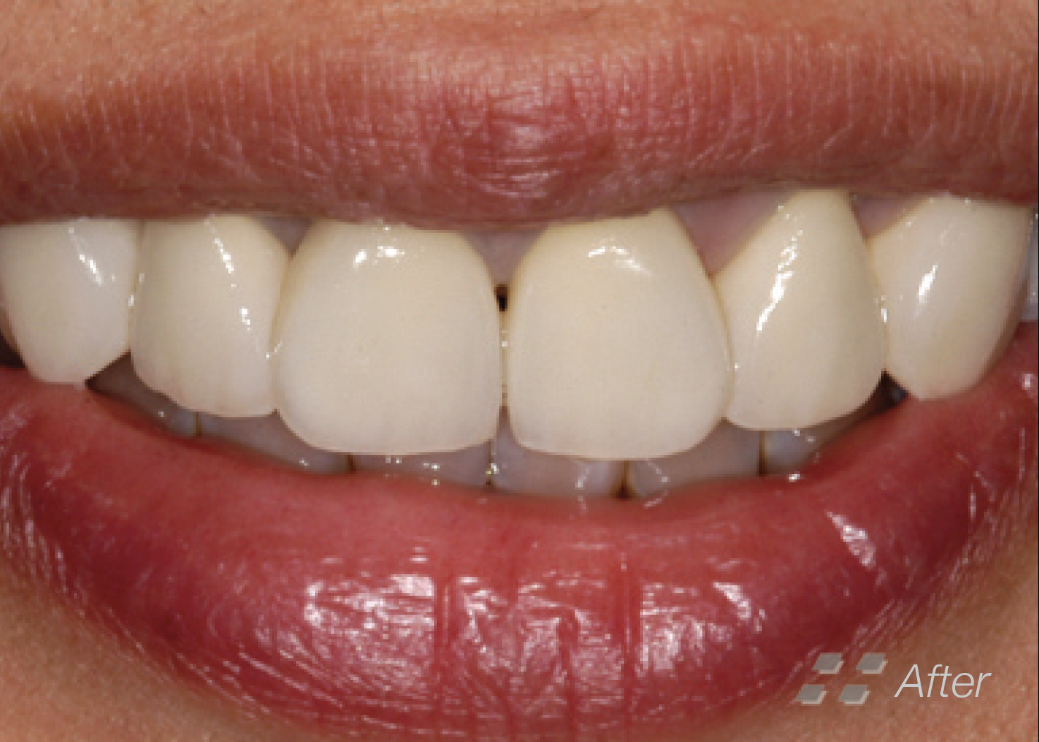
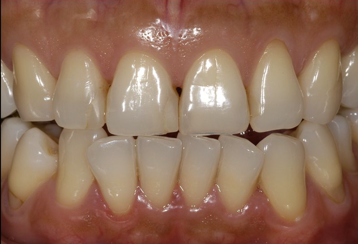
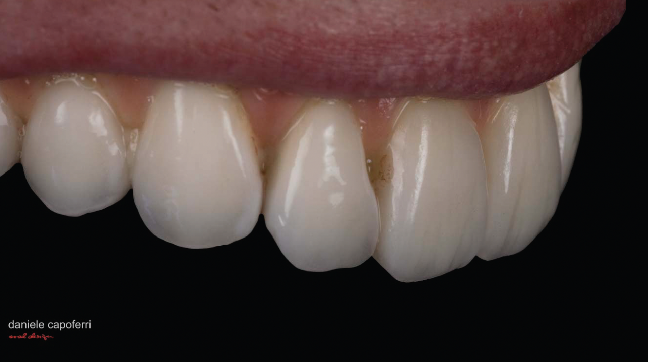
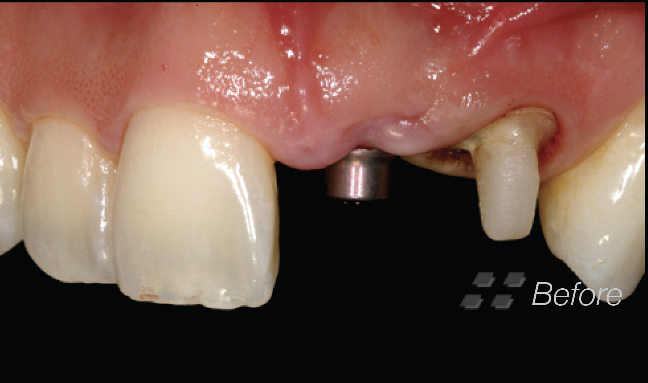
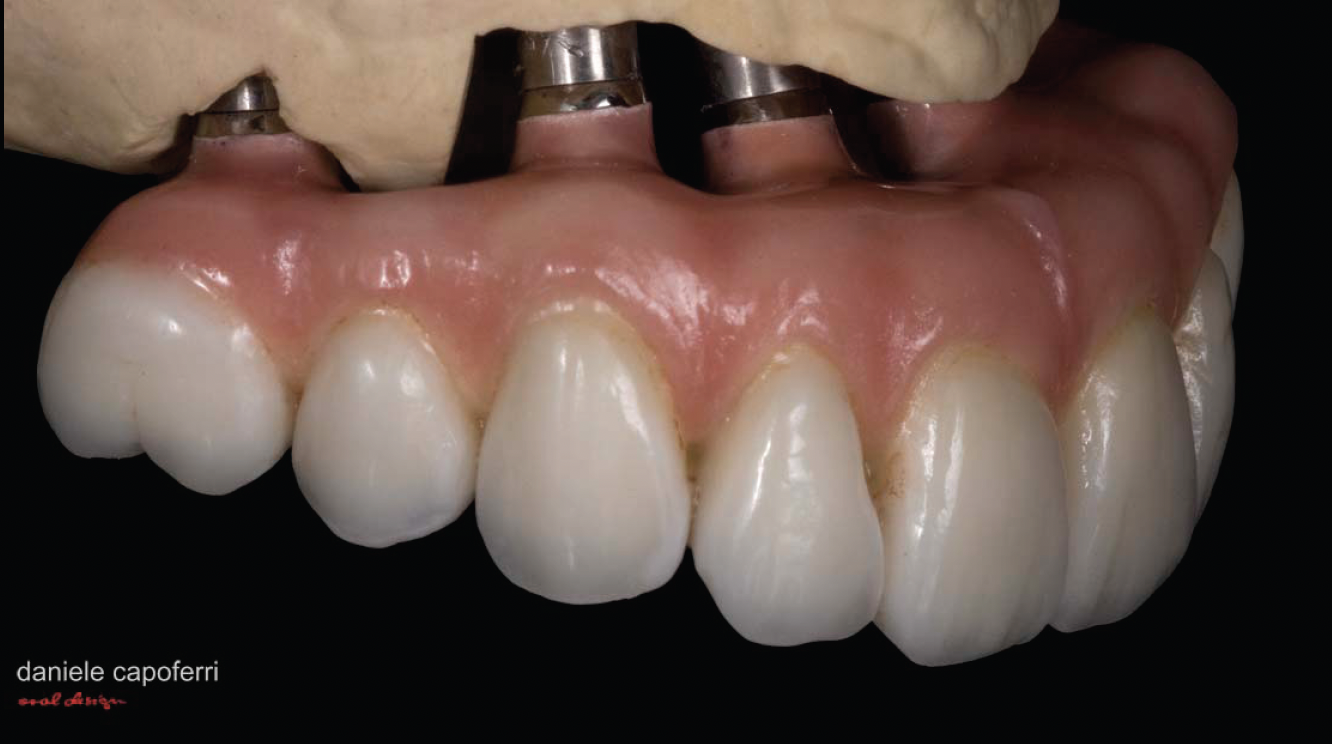
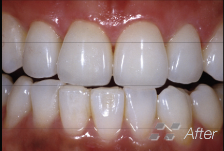
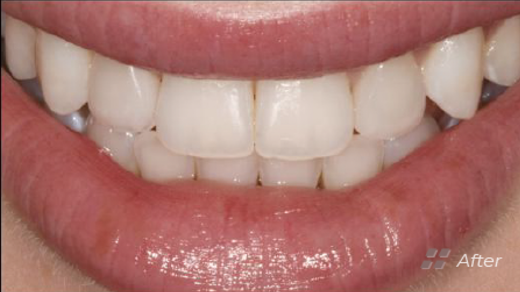
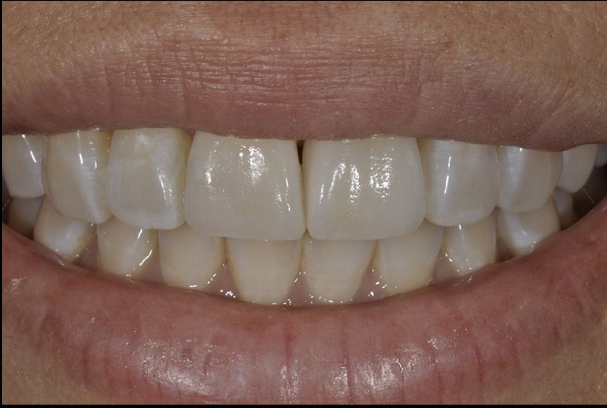
Clinical case photos