JUNE 16th-17th · 2023 · GERMANY · BAVARIA

 


ENRICO ROLANDONE 

 

LAYERING CREATION

LS - OPACITY IS THE KEY

 

2 days hands-on course 01st to 2nd June 2022, incl. Congress and party ticket

The course-language is English.



Summary

With the development of new dental technologies, nowadays we can utilize and process new generation materials such as Zirconia, Lithium Disilicate and dental Polymers.

 

As far as Composite materials concern, there is a new generation material which has unique characteristics and became very popular in our daily laboratory use.

 

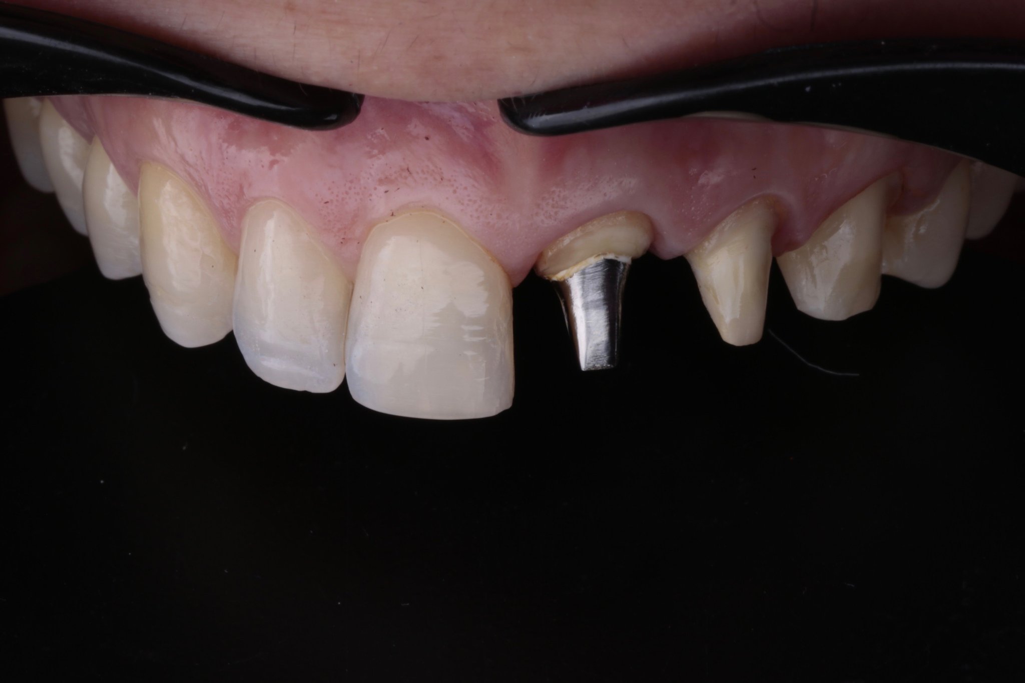
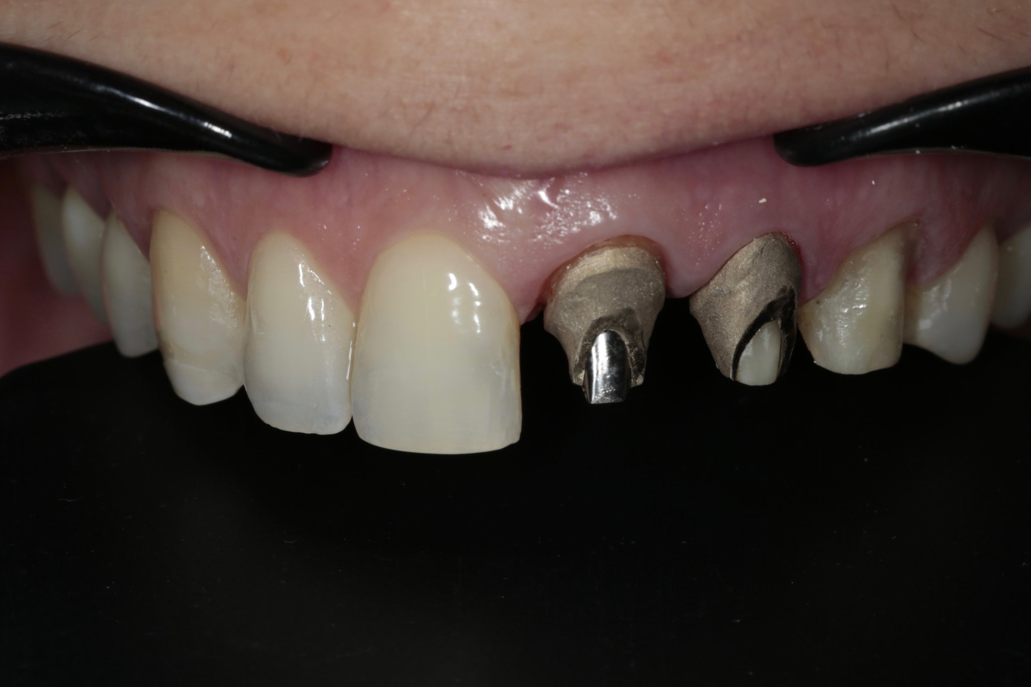
In the course "Aesthetics with Creation LS will be three elements. Moreover Pink aesthetics will be assessed and the strategies to obtain a natural aesthetic result will be analyzed step-by-step….The aim of the course is to present students with the possibility of managing lithium disilicate in highly problematic cases due to complex reconstructions such as tattooed stumps and stump thorns. 


VITA

 In 1990 he graduated as a dental technician.

 

 After working for ten years at the “Ricci” dental laboratory, in 1996 he became owner of the LOR laboratory in Fossano (Italy).

 

After a few years of training in various areas, professional imprinting takes place when, in the early 2000s, he learned Willi Geller's philosophy by attending various "master" courses in Italy, Europe, USA, Japan with speakers such as Willi Geller, Naoki Aiba, Stefan Picha, Jungo Endo, Sascha Hein. 

 

Since 2015 he has collaborated as a speaker & teacher with Cendres + Métaux Italia.

 

In 2017 he opens the new atelier in Fossano where he specializes completely in aesthetics by doing courses National.

 

In 2018 he was invited to join the prestigious Oral Design International team 




For more details, click here to apply